Клинический случай дифференциальной диагностики полостных образований легких при ревматоидном артрите
https://doi.org/10.18093/0869-0189-2025-35-4-597-602
Аннотация
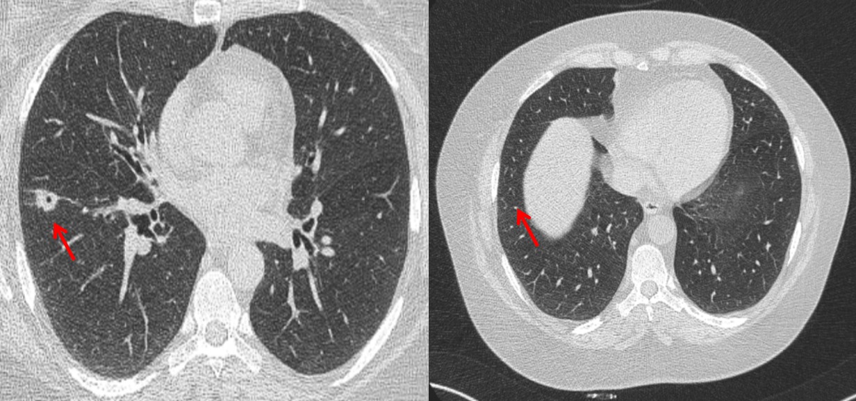
Ревматоидный артрит (РА) – это заболевание, которое, помимо поражения суставов, характеризуется системным поражением различных локализаций, в т. ч. легких. Поражение дыхательной системы встречается примерно в 30–40 % случаев и может иметь различные проявления, требующие проведения дифференциальной диагностики. Одним из проявлений являются ревматоидные узелки, которые могут приводить к образованию полостей в легких, кровохарканью и пневмотораксу.
Целью работы явилась демонстрация результатов длительного клинического наблюдения за пациенткой с поражением легких на фоне РА.
Заключение. Представлено клиническое наблюдение за пациенткой с серопозитивным РА, у которой на фоне длительного течения заболевания появились полостные образования в легких, сопровождающиеся кровохарканьем. Были исключены другие причины, такие как тромбоэмболия легочной артерии, злокачественные новообразования, специфическая инфекция, другие системные заболевания. Также рассматривалось поражение легких вследствие приема препарата из группы ингибиторов фактора некроза опухоли-альфа (этанерцепт), однако в связи с появлением новых очагов на фоне отмены препарата данный вариант представлялся маловероятным. Важным этапом установления диагноза в данном случае явилось гистологическое исследование. В исследуемом материале – признаки легочного васкулита и ревматоидных узелков. Таким образом, было верифицировано висцеральное поражение легких при РА. На примере данного клинического наблюдения продемонстрирована необходимость проведения дифференциальной диагностики полостных образований легких при РА с инфекционными, онкологическими и другими системными заболеваниями, а также с лекарственным поражением.
Об авторах
Е. А. ЗурилинРоссия
Зурилин Евгений Алексеевич – ординатор кафедры госпитальной терапии № 1 Института клинической медицины имени Н.В.Склифосовского
119991, Москва, ул. Трубецкая, 8, стр. 2
Н. А. Николаева
Россия
Николаева Надежда Андреевна – аспирант кафедры госпитальной терапии № 1 Института клинической медицины имени Н.В.Склифосовского
119991, Москва, ул. Трубецкая, 8, стр. 2
О. О. Воронкова
Россия
Воронкова Ольга Олеговна – к. м. н., ассистент кафедры госпитальной терапии № 1 Института клинической медицины имени Н.В.Склифосовского
119991, Москва, ул. Трубецкая, 8, стр. 2
Л. М. Мусаева
Россия
Мусаева Лариса Магомедовна – аспирант кафедры госпитальной терапии № 1 Института клинической медицины имени Н.В.Склифосовского
119991, Москва, ул. Трубецкая, 8, стр. 2
Е. А. Коган
Россия
Коган Евгения Алтаровна – д. м. н., профессор Института клинической морфологии и цифровой патологии
119991, Москва, ул. Трубецкая, 8, стр. 2
Е. Ф. Рогова
Россия
Рогова Елена Филимоновна – врач-пульмонолог, заведующая отделением пульмонологии клиники госпитальной терапии Университетской клинической больницы № 1
119991, Москва, ул. Трубецкая, 8, стр. 2
И. В. Меньшикова
Россия
Меньшикова Ирина Вадимовна – д. м. н., профессор кафедры госпитальной терапии № 1 Института клинической медицины имени Н.В.Склифосовского
119991, Москва, ул. Трубецкая, 8, стр. 2
М. В. Кожевникова
Россия
Кожевникова Мария Владимировна – к. м. н., профессор кафедры госпитальной терапии № 1 Института клинической медицины имени Н.В.Склифосовского
119991, Москва, ул. Трубецкая, 8, стр. 2
Ю. Н. Беленков
Россия
Беленков Юрий Никитич – д. м. н., профессор, академик Российской академии наук, заведующий кафедрой госпитальной терапии № 1 Института клинической медицины имени Н.В.Склифосовского
119991, Москва, ул. Трубецкая, 8, стр. 2
Список литературы
1. Федеральная служба государственной статистики. Здравоохранение в России. 2023: статистический сборник. М.: Росстат; 2023. Доступно на: http://ssl.rosstat.gov.ru/storage/mediabank/Zdravoohran-2023.pdf
2. Shaw M., Collins B.F., Ho L.A., Raghu G. Rheumatoid arthritis-associated lung disease. Eur. Respir. Rev. 2015; 24 (135): 1–16. DOI: 10.1183/09059180.00008014.
3. Lake F.R. Overview of pleuropulmonary diseases associated with rheumatoid arthritis. UpToDate. 2024. Available at: https://www.uptodate.com/contents/overview-of-pleuropulmonary-diseases-associated-with-rheumatoid-arthritis
4. Сатыбалдыев А.М., Ананьева Л.П. Ревматоидные узлы в паренхиме легких при ревматоидном артрите. Научно-практическая ревматология. 2019; 57 (3): 349–355. DOI: 10.14412/1995-4484-2019-349-355.
5. Koslow M., Young J.R., Yi E.S. et al. Rheumatoid pulmonary nodules: clinical and imaging features compared with malignancy. Eur. Radiol. 2019; 29 (4): 1684–1692. DOI: 10.1007/s00330-018-5755-x.
6. Laria A., Lurati A.M., Zizzo G. et al. Interstitial lung disease in rheumatoid arthritis: a practical review. Front. Med. (Lausanne). 2022; 9: 837133. DOI: 10.3389/fmed.2022.837133.
7. Naggar A., Laasri K., Berrada, K. et al. Differential diagnoses of cavitary lung lesions on computed tomography: a pictorial essay. Egypt. J. Radiol. Nucl. Med. 2023; 54: 149. DOI: 10.1186/s43055-023-01098-7.
8. Ясногородский О.О., Хоробрых Т.В., Насиров Ф.Н. и др. Легочные кавитации у пациентов с COVID-19. Московский хирургический журнал. 2023; (2): 83–88. DOI: 10.17238/2072-3180-2023-2-83-88.
9. Watson P., Simler N., Screaton N., Lillicrap M. Management of accelerated pulmonary nodulosis following etanercept therapy in a patient with rheumatoid arthritis. Rheumatology (Oxford). 2008; 47 (6): 928–929. DOI: 10.1093/rheumatology/ken102.
10. Toussirot E., Berthelot J.M., Pertuiset E. et al. Pulmonary nodulosis and aseptic granulomatous lung disease occurring in patients with rheumatoid arthritis receiving tumor necrosis factor-alpha-blocking agent: a case series. J. Rheumatol. 2009; 36 (11): 2421–2427. DOI: 10.3899/jrheum.090030.
Дополнительные файлы
|
|
1. Неозаглавлен | |
| Тема | ||
| Тип | Прочее | |
Посмотреть
(110KB)
|
Метаданные ▾ | |
|
|
2. Неозаглавлен | |
| Тема | ||
| Тип | Прочее | |
Посмотреть
(196KB)
|
Метаданные ▾ | |
Рецензия
Для цитирования:
Зурилин Е.А., Николаева Н.А., Воронкова О.О., Мусаева Л.М., Коган Е.А., Рогова Е.Ф., Меньшикова И.В., Кожевникова М.В., Беленков Ю.Н. Клинический случай дифференциальной диагностики полостных образований легких при ревматоидном артрите. Пульмонология. 2025;35(4):597-602. https://doi.org/10.18093/0869-0189-2025-35-4-597-602
For citation:
Zurilin E.A., Nikolaeva N.A., Voronkova O.O., Musaeva L.M., Kogan E.A., Rogova E.F., Menshikova I.V., Kozhevnikova M.V., Belenkov Yu.N. Clinical case of differential diagnosis of lung cavities in rheumatoid arthritis. PULMONOLOGIYA. 2025;35(4):597-602. (In Russ.) https://doi.org/10.18093/0869-0189-2025-35-4-597-602
JATS XML


































