Грануломатозно-лимфоцитарная интерстициальная болезнь легких как осложнение общего вариабельного иммунодефицита
Аннотация
Общий вариабельный иммунодефицит (ОВИН) - редкое иммунодефицитное состояние, классическим проявлением которого является рецидивирующая инфекция. Помимо инфекционных осложнений при ОВИН нередко встречаются и другие поражения, такие как злокачественные новообразования, аутоиммунные состояния, возникающие в результате аномального клеточного иммунитета. Часто в патологический процесс вовлекаются легкие. В данной статье представлен клинический случай пациента с ОВИН, осложненным грануломатозно-лимфоцитарной интерстициальной болезнью легких (ГЛИБЛ).
Об авторах
Александр Вячеславович АверьяновРоссия
доктор медицинских наук, главный научный сотрудник федерального государственного бюджетного учреждения «Научно-исследовательский институт пульмонологии Федерального медико-биологического агентства»
Конфликт интересов:
отсутствует
Анастасия Сергеевна Перкина
Россия
научный сотрудник лаборатории персонифицированной медицины федерального государственного бюджетного учреждения «Научно-исследовательский институт пульмонологии Федерального медико-биологического агентства»; врач пульмонолог консультативно-диагностического центра «Федерального научно-клинического центра специализированных видов медицинской помощи и медицинских технологий Федерального медико-биологического агентства России»; 8-963-721-00-98; anastasyaperkina@gmail.com
Конфликт интересов:
отсутствует
Список литературы
1. Cunningham-Rundles C., Bodian C. Common variable immunodeficiency: clinical and immunological features of 248 patients. Clinical Immunology. July 1999, pp. 34-48. [https://www.sciencedirect.com/science/article/abs/pii/S1521661699947253?via%3Dihub].
2. Odnoletkova I., Kindle G., Quinti I., et al. The burden of common variable immunodeficiency disorders: a retrospective analysis of the European Society for Immunodeficiency (ESID) registry data. Orphanet J Rare Dis. 2018 Nov 12;13(1):201. [https://www.ncbi.nlm.nih.gov/pmc/articles/PMC6233554/].
3. Baloh C., Reddy A., Henson M. et al. 30-Year Review of Pediatric- and Adult-Onset CVID: Clinical Correlates and Prognostic Indicators. J Clin Immunol. 2019 Oct;39(7):678-687. [https://link.springer.com/article/10.1007%2Fs10875-019-00674-9].
4. Amika A., Funkhouser W., Handly B. et al. Granulomatous-Lymphocytic Interstitial Lung Disease in 22q11.2 Deletion Syndrome: a Case Report and Literature Review. [https://www.ncbi.nlm.nih.gov/pmc/articles/PMC5935501/].
5. Gupta S., Pattanaik D., Krishnaswamy G. Common Variable Immune Deficiency and Associated Complications. Chest. 2019 Sep;156(3):579-593. [https://journal.chestnet.org/article/S0012-3692(19)31116-X/fulltext].
6. Yazdani R., Abolhassani H., Asgardoon MH. et al. .Infectious and Noninfectious Pulmonary Complications in Patients With Primary Immunodeficiency Disorders. J Investig Allergol Clin Immunol. 2017; 27(4):213-224. [http://www.jiaci.org/revistas/vol27issue4_2_1.pdf].
7. Bates C.A., Ellison M.C., D. A. Lynch D.A. at al. Granulomatous-lymphocytic lung disease shortens survival in common variable immunodeficiency. The journal of allergy and clinical immunology. August 2004Volume 114, Issue 2, Pages 415–421. https://www.jacionline.org/article/S0091-6749(04)01571-4/fulltext.
8. Hurst J.R., Verma N., Lowe D. et al. British Lung Foundation/United Kingdom Primary Immunodeficiency Network. Consensus Statement on the Definition, Diagnosis, and Management of Granulomatous-Lymphocytic Interstitial Lung Disease in Common Variable Immunodeficiency Disorders. The Journal of Allergy and Clinical Immunology: In Practice. Volume 5, Issue 4, July–August 2017, pages 938-945. [https://www.sciencedirect.com/science/article/pii/S2213219817300351?via%3Dihub].
9. Xiao X., Miao Q., Chang C. et al. Common variable immunodeficiency and autoimmunity – an inconvenient truth. Autoimmunity reviews 2014 August 18;13(8):858-64. Epub 2014 Apr 18. [https://www.pubfacts.com/detail/24747700/Common-variable-immunodeficiency-and-autoimmunity-an-inconvenient-truth].
10. Mannina A., Chung JH., Swigris JJ. et al. Clinical Predictors of a Diagnosis of Common Variable Immunodeficiency-related Granulomatous-Lymphocytic Interstitial Lung Disease. Annals of the American Thoracic Society. Volume. 13, issue 7. Jul 01, 2016. [https://www.atsjournals.org/doi/full/10.1513/AnnalsATS.201511-728OC?url_ver=Z39.88-2003&rfr_id=ori%3Arid%3Acrossref.org&rfr_dat=cr_pub%3Dpubmed]/].
11. Hartono S., Motosue MS, Khan S. et al. Predictors of granulomatous lymphocytic interstitial lung disease in common variable immunodeficiency. Annals of allergy, asthma andimmunology May 2017. Volume 118, Issue 5, Pages 614–620. [https://www.annallergy.org/article/S1081-1206(17)30007-8/fulltext].
12. Cinetto F., Scarpa R., Pulvirenti F. et al. Appropriate lung management in patients with primary antibody deficiencies. Expert Review of Respiratory Medicine Volume 13, 2019 - Issue 9. Pages 823-838. [https://www.tandfonline.com/doi/abs/10.1080/17476348.2019.1641085?journalCode=ierx20].
13. Torigian D., LaRosa D., Levinson A. et al. Granulomatous-Lymphocytic Interstitial Lung Disease Associated With Common Variable Immunodeficiency: CT Finding. Journal of Thoracic Imaging. 23(3):162-169, August 2008. [https://insights.ovid.com/crossref?an=00005382-200808000-00002].
14. Cereser L., Giromettib R., d'Angelo P. et al. Humoral primary immunodeficiency diseases: clinical overview and chest high-resolution computed tomography (HRCT) features in the adult population. Clinical radiology, July 2017. Volume 72, Issue 7, Pages 534–542. [https://www.clinicalradiologyonline.net/article/S0009-9260(17)30127-7/fulltext].
15. Jolles S., Carne E., Brouns M., et al. FDG PET-CT imaging of therapeutic response in granulomatous lymphocytic interstitial lung disease (GLILD) in common variable immunodeficiency (CVID). Clinical and Experimental Immunology 2017 January 28; 187(1):138-14. Epub 2016 November 28. [https://www.pubfacts.com/detail/27896807/FDG-PET-CT-imaging-of-therapeutic-response-in-granulomatous-lymphocytic-interstitial-lung-disease-GL%5d].
16. Rao N., Mackinnon A.C., Routes J.M et al. Granulomatous and Lymphocytic Interstitial Lung Disease (GLILD): A Spectrum of Pulmonary Histopathological Lesions in Common Variable Immunodeficiency (CVID) - Histological and Immunohistochemical Analysis of 16 cases. Human pathology September; 46(9): 1306-1314. Author Manuscript. [https://www.ncbi.nlm.nih.gov/pmc/articles/PMC4554947/].
17. Tashtoush B., Memarpour R., Ramirez J. et al. Granulomatous-lymphocytic interstitial lung disease as the first manifestation of common variable immunodeficiency. The Clinical Respiratory Journal 2018 January 22;12(1):337-343. Epub 2016 June 22. [https://www.pubfacts.com/detail/27243233/Granulomatous-lymphocytic-interstitial-lung-disease-as-the-first-manifestation-of-common-variable-im].
18. Chase N.M., Verbsky J.W., Hintermeyer M.K. et al. Use of Combination Chemotherapy for Treatment of Granulomatous and Lymphocytic Interstitial Lung Disease (GLILD) in Patients with Common Variable Immunodeficiency (CVID). Journal of Clinical Immunology, January 2013, Volume 33, Issue 1, pp 30–39. [https://link.springer.com/article/10.1007/s10875-012-9755-3].
19. Deyà‐Martínez A., Esteve‐Solé A., Vélez‐Tirado N. et al. Sirolimus as an alternative treatment in patients with granulomatous‐lymphocytic lung disease and humoral immunodeficiency with impaired regulatory T cells. Pediatric Allergy and Immunology, Volume29, Issue4, June 2018, pages 425-432. [https://onlinelibrary.wiley.com/doi/abs/10.1111/pai.12890].
Дополнительные файлы
|
|
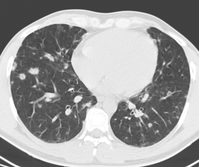
1. Рис. 1a. КТ органов гр. клетки у пациента с ОВИН. Figure 1a. Computer chest tomography of patient with common variable immunodeficiency | |
| Тема | ||
| Тип | Исследовательские инструменты | |
Посмотреть
(91KB)
|
Метаданные ▾ | |
|
|
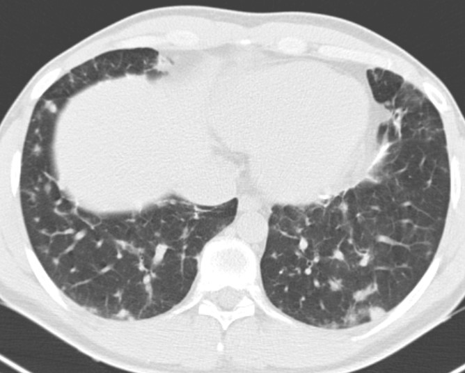
2. Рис. 1b. КТ органов гр. клетки у пациента с ОВИН. Figure 1b. Computer chest tomography of patient with common variable immunodeficiency | |
| Тема | ||
| Тип | Прочее | |
Посмотреть
(90KB)
|
Метаданные ▾ | |
|
|
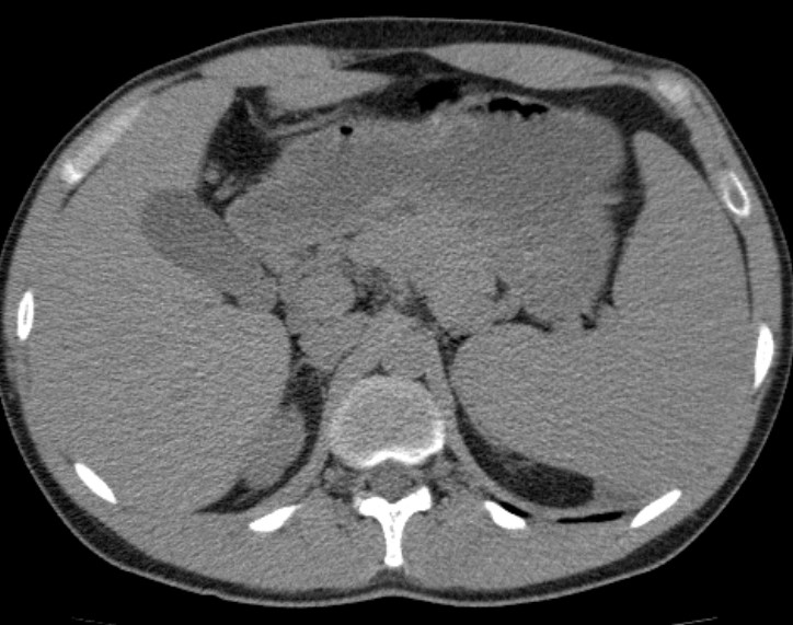
3. Рис. 2. КТ брюшной полости у пациента с ОВИН. Figure 2. Computer abdomen tomography of patient with common variable immunodeficiency | |
| Тема | ||
| Тип | Прочее | |
Посмотреть
(122KB)
|
Метаданные ▾ | |
Рецензия
Для цитирования:
Аверьянов А.В., Перкина А.С. Грануломатозно-лимфоцитарная интерстициальная болезнь легких как осложнение общего вариабельного иммунодефицита. Пульмонология. 2021;31(6).
For citation:
Averyanov A.V., Perkina A.S. Granulomatous-lymphocytic interstitial lung disease as a complication of General variable immunodeficiency. PULMONOLOGIYA. 2021;31(6).
JATS XML

































